As a family from Dehradun, we had the privilege of experiencing exceptional care at Shroff Eye Centre ,Kailash colony ,Delhi for my 69-year-old mother's advanced Vitreo-Retinal(macular hole) surgery.
I'm overwhelmed with gratitude for the outstanding treatment she received.
Dr. Darius's expertise shines through in every aspect of his work, and his impressive qualifications, including being a Fellow of the Royal College of Surgeons, highlight his commitment to upholding the highest standards in surgery.
From the moment we stepped into the centre, the staff's professionalism and kindness impressed us. The liftman, nurses, reception counselors, and anesthetists were all courteous and efficient.
Dr. Darius's skill, experience, and compassion gave us immense confidence throughout the surgery process. His team worked seamlessly together to ensure my mother's comfort and safety.
The centre's integrated computer system is also noteworthy, ensuring that all patient information is readily available and no detail is missed. This level of organisation and optimal use of technology clearly contributes to the high standard of care provided.
Although we had to travel far for the surgery, it was worth every bit.
I wholeheartedly recommend Shroff Eye Centre and Dr. Darius to anyone seeking world-class eye treatment.
Their commitment to delivering exceptional patient care is truly commendable."
I give : 5/5 stars to Shroff eye centre
Your Eyes, Our Passion
Retinal Hole or Tear- Symptoms, Diagnosis & Treatment in Delhi NCR
Overview
Retinal holes and tears are types of retinal conditions and are diagnosed as small breaks in the retina. It requires urgent attention & follow up with a retina specialist to prevent a detachment.
Content
Symptoms of Retinal Hole or Tear
In the majority, retinal holes are completely asymptomatic, as they usually occur in the periphery of the retina and not in the visually important central retina.
In some patients, the formation of a retinal tear is preceded by flashes of light, which are indicative of pull (traction) on the retina.
In others, the tear may break a small blood vessel in its path causing a small hemorrhage (bleeding), with the blurring of vision and ‘floaters’.
Retina holes don’t usually cause any visual problem at all unless they have progressed to a retinal detachment. At this stage, the patient complains of loss of part of the visual field or total loss of vision. Read about retinal detachment here
Diagnosis of retinal hole
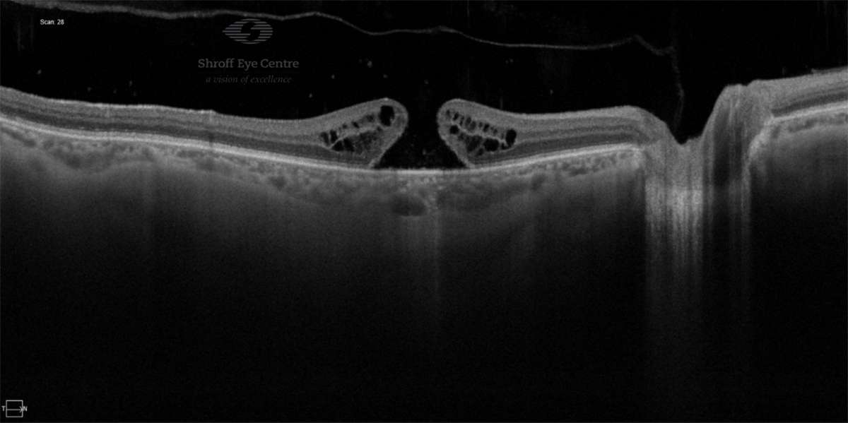
A comprehensive retina check and examination by binocular indirect ophthalmoscopy is the only way holes in the retina or tears may be detected before they can cause retinal detachment. OCT may also be done to document and analyse the retina.
What’s the difference between retinal tear and retinal hole?
The term retinal tears and holes is often used interchangeably by some. Retinal tears develop when the vitreous pulls on the retina while retinal holes develop due to progressive thinning of the retina.
Retinal holes are usually smaller and have a lower risk for causing a retinal detachment. Treatment may be similar for both holes and tears in some cases.
Treatment of retinal hole or tears
At this stage, i.e. when retinal detachment has not yet occurred, if there are holes or tears, they can easily be closed or sealed to prevent future detachment.
The holes or tears are sealed by producing minute scars in the retina around them. The scar tissue helps to “weld” the retina to the choroid and prevent fluid from seeping through the hole.
These scars can be produced by
- Laser photocoagulation - using a laser or strong light source which is focussed throught the pupil on the retina.
- Cryotherapy - controlled freezing of the affected retina tissue by using a frozen probe. Numbing eye drops are used to ensure minimal discomfort.
Our experts will decide which modality will be better for you.
Both cryotherapy and photocoagulation are usually carried out as an outpatient procedure and do not require admission. You may be asked to avoid sudden jerks and contact sports for a few weeks as the retina tissue heals.
Retinal hole prognosis
If retina hole or tears are treated in time, they have a very good prognosis and usually do not affect vision.
After treatment for retina tear or hole, future risk for additional retina holes or retina detachment does remain. This is why regular follow ups are very important even after treatment.
FAQs
Do all retina holes need treatment?
Not all retinal tears require treatment. Many times our experts may opt to wait and watch especially if it's a patient with no risk factors and no symptoms. Many such tears or holes sometimes seal themselves.
Does wearing specs lead to retina hole or tears?
No, wearing specs does not lead to development of retina holes or tears. People often associate specs with retina holes. However, it is important to remember that those with high myopia (high minus number) have a higher chance of developing retina hole or tear. If you are a high myope, wearing glasses will not change your chances of developing a retina hole.
Is treatment of Retina hole or tear available at Shroff Eye Centre?
Yes, our retina team (link retina team) regularly treats retina holes and tears at is considered one of the best in the country. To book an appointment for a retina problem, please call us
Retina Patient Testimonials
See the Difference
Why Shroff Eye Centre?
1
Excellence
in Eyecare since 1914
2
Award winning
Eye specialists
3
Empathetic
Personalised patient care
4
Advanced care
1 lac happy eyes / year
5
Ethical
Patient-first approach
Patient Reviews
Great experience from the reception till departure. Dr. Cyrus is a great clinician and retina expert, thorough and reassuring. Indeed an authority in the subject. Thanks.
I had an excellent experience with Dr. Gagan Bhatia retina specialist. From the moment I walked in, the staff was warm and professional. Dr. Gagan Bhatia took the time to explain my condition in detail, answered all my questions patiently, and made sure I felt at ease throughout the process. The treatment was smooth, and I noticed a clear improvement in my vision. I highly recommend anyone with retina issues to visit them — truly an expert in the field.
I had a wonderful experience with Dr. Gagan Bhatia. He is not only highly skilled but also extremely patient and understanding. He took the time to explain my condition in detail, answered all my questions, and made me feel completely at ease throughout the treatment process. His expertise as a retina specialist is evident, and I felt confident and well cared for at every step. The staff was also very supportive, and the clinic was well-organized. I truly appreciate his professionalism and compassion and would highly recommend Dr. Gagan Bhatia to anyone seeking expert eye care.
I had a retina surgery and developed a glaucoma and then cataract , as with the young age it’s too dark time to go thru , but then some how I got a reference of DR. JASLEEN from Dr.Shroff centre kaushambi and got operated cataract on one of my eye . I should address here , that she is such a great expertise ,to me as a patient she was so polite to attend calls whenever I call her due to sudden phobia of eye treatments . Dr .jasleeen is most amazing and wonderful doctor . Still my routine check up is continuing with her . She is such a sweet as a person and as professional . And yes outcome of surgery is amazing and superb .
Retinal tears or hole Treatment Near You
Kailash Colony
A-9, Lala Lajpat Rai Rd, Block A, Kailash Colony, Greater Kailash, New Delhi, Delhi 110048
South Delhi areas- Greater kailash, Lajpat nagar, Cr park, Defence colony, Niti bagh, Saket, Noida
GET DIRECTIONS
Connaught Place
Building (1st floor, 105, Surya Kiran, 19, KG Marg, New Delhi, Delhi 110001
Central Delhi- serving Karol bagh, Rajender Nagar, Civil lines
GET DIRECTIONS
Gurgaon
110 Bestech Chambers Radisson Suites, Block B, Sector 27, Gurugram, Haryana 122009
Haryana- Golf course road, Cyber city, Rewari, Sohna, Faridabad
GET DIRECTIONS
Ghaziabad
509, KM Trade Tower, adjacent to Radisson Blu, Sector 14, Kaushambi, Ghaziabad, Uttar Pradesh 201010
GET DIRECTIONS
Uttar Pradesh- Greater Noida, Ghaziabad, Merut, Bulandshahr, Hapur
Medical content reviewed by Shroff Eye Centre.
Updated : October 2025
Disclaimer
This is not medical advice. Your ophthalmologist will help you decide which procedure and lens is best suited for your eyes. Every patient and eye is different and thus the experience for every patient is variable.
All product and company names are trademarks or registered trademarks of their respective holders. Use of them does not imply any affiliation or endorsement by them.

By being on the website, your personal data is being processed for communication with you and providing services. We use cookies to collect and analyse information on site performance, usage, enhancement of customer usability and improvising the website. We have put in place terms of use,
By clicking on accept you agree to all the policies mentioned above. You can read more about them by clicking on read more and accept them individually.





Call us
Email us